Luce una sonrisa más blanca y brillante con tratamientos seguros y personalizados adaptados a tus necesidades

Blanqueamiento dental en Málaga – Clínica MAXILUM N.I.C.A. 47345


Blanqueamiento seguro y eficaz con tecnología avanzada


Utilizamos productos clínicamente aprobados que aclaran el tono dental sin dañar el esmalte. Disponemos de blanqueamientos en clínica con luz LED y tratamientos combinados para casa.


Resultados naturales y personalizados


Antes de comenzar, evaluamos tu caso para ofrecerte el tratamiento más adecuado según el color de tus dientes y tus expectativas estéticas.

Dentista comparando muestras de color de dientes con los dientes del paciente, en el consultorio.

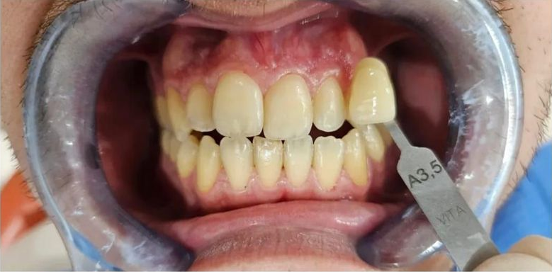
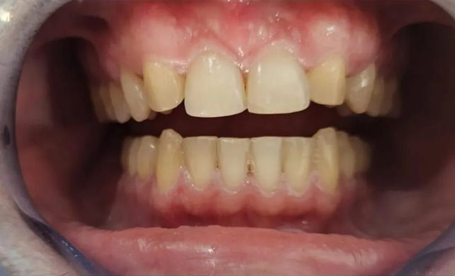
RESULTADOS

Boca abierta, dientes visibles. Un dentista usa una guía de colores para determinar el color de un diente. La guía indica A3.
Un dentista comparando el tono de color de diente A1 con los dientes del paciente.
Vista de los dientes con la boca abierta, mostrando coloración amarillenta y cierta desalineación, con encías rosadas.
Primer plano de una boca, mostrando dientes y encías. Los dientes presentan una mezcla de blanco y amarillo.
Primer plano de dientes que están siendo coloreados por un dentista, utilizando una guía de tonos denominada A3.5.
Paciente dental con la boca abierta. Se coloca una guía de colores delante de sus dientes.

POR QUÉ ELEGIRNOS

Icono de marca de verificación en un círculo.

Resultados inmediatos y visibles desde la primera sesión.

Marca de verificación dentro de un círculo.

Tecnología avanzada con luz LED y gel de peróxido profesional

Marca de verificación dentro de un icono de círculo.

Sin dolor, tratamiento 100% personalizado

Marca de verificación dentro de un círculo.

Clínica acreditada y profesionales con años de experiencia

Llama ahora y agenda tu sesión de blanqueamiento dental en Málaga

Recupera la confianza en tu sonrisa con los expertos de Clínica MAXILUM